
5500 Atherton Street
Suite 430
Long Beach, CA 90815
(562) 379-6732
At Emigh Dental Care, we create refined, natural-looking smiles using advanced techniques, premium materials, and a personalized approach that has been trusted by families since 1972.
Whether you're considering porcelain veneers, Invisalign, dental implants, or a complete smile makeover, our goal is simple:
Beautiful results that look effortless - never artificial.
Proudly serving Long Beach and surrounding communities.

Our family founded Emigh Dental Care over five decades ago with one vision:
To deliver high-end dentistry in a welcoming, family-centered environment.
Today, we continue that legacy by:
Hiring the most skilled and compassionate team members
Using only premium materials
Partnering with elite master dental labs
Providing honest, pressure-free guidance
Designing treatment plans tailored to each individual
Patients choose us because they want exceptional cosmetic results - delivered with integrity and warmth.
Your smile affects your confidence, your health, and how you show up in the world.
Our team blends art and science to create outcomes that enhance your features - not change who you are. What are you waiting for? Book your consultation today.

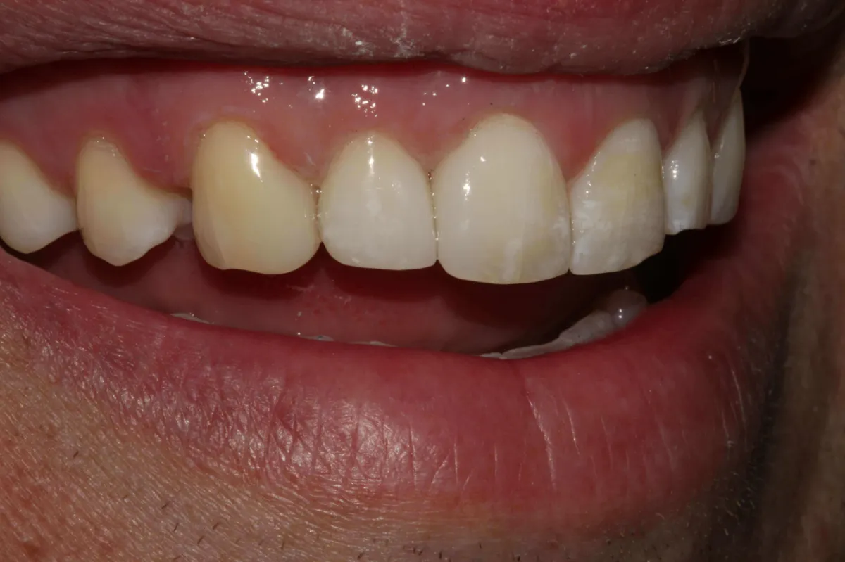
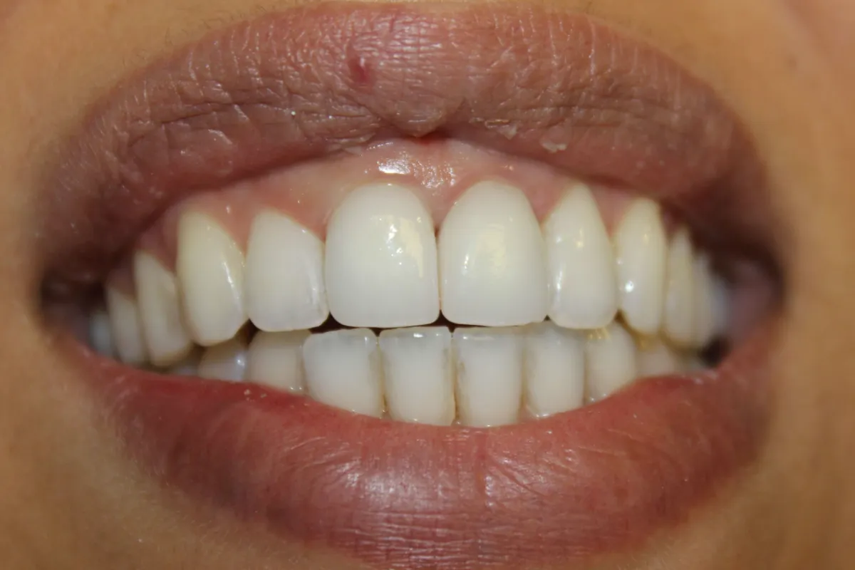
PORCELAIN VENEERS IN LONG BEACH
The Most Powerful Way to Transform Your Smile
Porcelain veneers are our most requested cosmetic treatment - and for good reason.
They can correct:
Discoloration and deep staining
Chips and cracks
Gaps between teeth
Uneven shape or worn enamel
Minor alignment concerns
Each veneer is custom-designed to reflect light like natural enamel and harmonize beautifully with your facial features.
Our philosophy?
Perfect - yet natural.
We design smiles that build confidence and let you shine, without looking overdone.

SIGNATURE SMILE MAKEOVERS
A Strategic, Conservative Approach to Total Smile Design
For patients ready for a complete transformation, we create personalized smile makeovers that may combine:
Invisalign for ideal alignment
Porcelain veneers for symmetry and brightness
Cosmetic composite bonding for conservative refinement
Dental implants to replace missing teeth
Our Advanced Approach
We often begin with Invisalign to properly position teeth before placing veneers or bonding.
Why?
Because aligning teeth first allows us to preserve more natural tooth structure - while achieving ideal cosmetic results.
The outcome is a healthier, longer-lasting, and beautifully balanced smile.

INVISALIGN IN LONG BEACH
Over 1,000 cases completed
Straighten Your Teeth - Without Braces
Invisalign uses clear aligners to discreetly correct:
Crowding
Spacing
Bite concerns
Misalignment
Many cosmetic patients begin with Invisalign as the foundation for their smile transformation.
Straighter teeth don’t just look better - they function better and support long-term dental health.

COSMETIC COMPOSITE BONDING
Subtle Enhancements. Immediate Confidence.
Not every smile needs veneers.
Cosmetic bonding allows us to reshape and refine teeth - often in just one visit - using natural-looking, tooth-colored materials.
Ideal for:
Small chips
Minor gaps
Uneven edges
Subtle shape corrections
It’s one of the most conservative cosmetic treatments available - and sometimes the smallest refinements create the biggest boost in confidence.

DENTAL IMPLANTS IN LONG BEACH
Permanent, Natural-Looking Tooth Replacement
Missing teeth can affect more than your appearance - they impact confidence, function, and long-term oral health.
Dental implants are considered the gold standard because they:
Look and feel like natural teeth
Restore full chewing function
Preserve jawbone health
Offer long-term durability
We use digitally planned 3-D guides for ideal placement, top-notch materials and collaborate with trusted specialists when needed to ensure exceptional outcomes.
You’ll feel confident smiling, speaking, and eating again.

COMPREHENSIVE DENTISTRY - INCLUDING SLEEP APNEA TREATMENT
Your smile is part of your overall health - and we care about the whole you. We provide oral appliance therapy for sleep apnea and airway-related concerns as part of our commitment to comprehensive, health-focused care.
Benefits of Treating Sleep Apnea:
Protect your heart and reduce long term health risks
Wake up rested with more energy and mental clarity
Comfortable alternative to CPAP
Reduced snoring and better sleep for a happier partner
Support longevity, hormone balance, and overall well-being
Because true wellness begins with proper function.
Our doctors combine decades of experience with advanced cosmetic training and a commitment to honest, patient-centered care.
When you visit Emigh Dental Care, you’re cared for by a team that values relationships just as much as results.

DR. PAT EMIGH

DR. TODD EMIGH

DR. WENDY WONG
Always a pleasure to go to Emigh Dental! Everyone there is so friendly and professional- they are thorough, caring, and you feel like you’re a part of a family there. They take good care of you.


Patient
Emigh Dental provided an amazing experience for my kids. Their staff was very professional, friendly and made my kids feel very comfortable. Thank you!


Patient
I have loved being a patient of Emigh Dental Care! Everyone is friendly and nice. The office is spotless. They are ready for you when it’s time for your appointment...no long waits.


Patient
Great staff very informative and helpful when figuring out plans when I have no dental insurance. Would highly recommend this office for your dental care.


Patient
Great staff, and excellent care. Everyone I interacted with was genuinely concerned with my comfort level, and I felt that I was truly being listened to. I wouldn't hesitate to recommend Emigh Dental!


Patient
Outstanding communication, everyone so friendly, excellent patient education, excellent knowledge and skill. So grateful to any and all Emigh staff!


Patient
Trusted in Long Beach Since 1972.
We are proud of our 5-star reputation and the generations of families who continue to trust us with their smiles.








Choosing cosmetic dentistry is a big decision. You deserve time, clarity, and honest answers. That’s why we offer complimentary cosmetic and smile makeover consultations. Your best smile starts here.
Experience compassionate dental care led by our doctors and dedicated team, who are committed to making your visit as comfortable and stress-free as possible.
We begin with a comprehensive evaluation and discuss your goals. From there, we create a personalized plan that may include veneers, Invisalign, bonding, implants, or a combination approach.
We walk you through every option and explain the pros and cons of each so you can make an informed decision that fits your goals and budget.
Costs vary depending on treatment type and complexity. During your consultation, we provide transparent estimates and discuss financing options.
Yes. We provide flexible options to help make treatment accessible and manageable.
For many patients, improving their smile dramatically increases confidence, comfort, and quality of life. It’s an investment in yourself.
If you’re searching for:
Veneers in Long Beach
A trusted Invisalign provider
A complete smile makeover
Natural-looking dental implants
Conservative cosmetic dentistry
You’re in the right place.
Experience high-end dental care in a welcoming, family environment.
Let’s design your ideal smile - together.

5500 Atherton Street
Suite 430
Long Beach, CA 90815
(562) 379-6732
Office Hours:
Monday: 10:10 am - 6:00 pm
Tuesday: 7:10 am - 6:00 pm
Wednesday: 8:10 am - 5:00 pm
Thursday: 7:10 am - 4:00 pm
Friday: 7:10 am - 4:00 pm
Saturday & Sunday: Closed